郯城县第一人民医院最新引进了全球高端CT——德国西门子SOMATOM Force双源CT,并正式投入使用。这台集“快、安、准、广”于一身的医疗"黑科技",将为我县医疗影像诊断带来革命性提升。

一、什么是双源Force CT?
双源CT就是把两个球管和两套探测器高度集成内置于一个机架内,这一设计突破了传统CT的技术瓶颈,实现了扫描速度、图像质量、安全性能的全面提升。从突破高心率屏障,到亚毫西弗的单心跳冠脉成像;从全身双能量、大范围动态成像,到全人群全部位低量扫描,双源CT解决了临床中的一个又一个难题。西门子SOMATOM Force双源CT搭载了全新的人工智能技术以及全新的硬件和软件系统,确保全流程获取准确的CT数据源,实现个性化诊断和精准医疗。
二、四大核心优势,重塑CT检查新体验
▶ 极速扫描,告别"憋气"难题
· 0.25秒/圈转速,心脏成像时间分辨率达66毫秒
· 全心扫描,无需控制心率,即便房颤患者也能获得清晰图像
· 1秒完成全身大血管成像,大幅缩短检查时间,尤其适用于急诊危重患者
· 老人、儿童甚至无法配合屏气的患者,可在自由呼吸下完成检查
▶ 超低剂量,实现“绿色”检查
· 肺部低剂量CT剂量可低至亚毫西弗,相当于胸片的辐射水平
· 增强检查对比剂用量较传统CT大幅度降低,极大保护肾功能不全患者
· 健康查体、肿瘤患者定期复查更安全
▶ 高清成像,微小病变无处遁形
· 超高空间分辨率,实现全身高清成像
· 清晰显示冠脉斑块、支架结构等精细解剖
· 精准发现细微骨折、早期结节和微小肿瘤
· 大幅提升诊断准确性,减少漏诊风险
▶ 能谱成像,实现精准诊断
· 一次扫描即可获得多能量参数数据
· 精准分析组织成分:鉴别肿瘤良恶性、分析结石成分、定量痛风结晶
· 实现物质分离成像,将形态学与功能学完美结合
· 为临床提供更丰富的诊断信息
三、六大临床应用,覆盖全身各系统
· 心血管系统:无须控制心率的冠脉CTA、胸痛三联征一站式检查
· 神经系统:头颈血管成像、脑卒中一站式评估(平扫+CTA+CTP)
· 肿瘤诊疗:全身肿瘤早期筛查、疗效评估与随访
· 创伤急救:全身多发伤快速评估,为抢救争分夺秒
· 胸腹部疾病:肺动脉栓塞、肝脏病变精准诊断
· 骨关节系统:痛风石无创诊断、骨髓水肿分析、金属伪影去除
四、以患者为中心,提升就医体验
德国西门子SOMATOM Force双源CT的引进,不仅标志着我院影像诊断水平的进一步提升,更体现了医院“以患者为中心”的服务理念:
· 检查时间大幅缩短,减少等候时间
· 无需特殊准备,降低检查门槛
· 安全无创,减轻心理负担
· 一站式检查,避免多次往返医院
五、精准影像,守护健康
医学影像设备的迭代更新是推动临床诊疗水平不断提升的重要动力。郯城县第一人民医院始终坚持以患者为中心,以技术创新为驱动,持续引进先进医疗设备,提升服务水平。西门子SOMATOM Force双源CT的正式启用,推动我院在心血管疾病、肿瘤精准分期、神经系统病变、急诊创伤及全身大范围筛查等多个领域的诊断水平实现跨越式提升。双源CT将为临床诊疗和患者健康提供强有力的保障,让群众在家门口就能享受到国内顶尖的影像检查服务。郯城县第一人民医院影像科将以此为契机,继续秉承"技术引领、服务临床"的理念,以先进设备为依托,为全县人民健康保驾护航!
影像科咨询电话:2100822
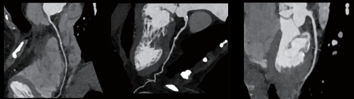
六、病例图像参考


CPR图显示右冠中段钙化斑块,左前降支中段钙化斑块,左回旋支近端少许钙化斑块;无运动伪影。

VRT图可见冠脉主干及主要分支血管的走行及心腔的关系。

双源CT头颈心联合扫描:头颈部血管显示清晰,未见明显异常。

左图为右肘关节矢状位显示肘关节旁稍高密度结节,中图和右图为双能量痛风分析后右肘关节矢状位及VR重建显示肘关节旁结节绿染,与尿酸单钠沉积一致,结果解释为痛风石。