近日,我院内镜室、麻醉科与呼吸内科通力协作,成功完成一例支气管异物取出术。
患者为68岁男性,于1月7日因咳嗽、发热半个月入院治疗。入院诊断为支气管内异物、肺脓肿伴肺炎、感染性发热、慢性支气管炎、阻塞性肺气肿。考虑到患者异物阻塞支气管数年,反复引发阻塞性肺炎,外院抗炎治疗效果不佳,入院后完善检查并征得患者同意,为其施行电子支气管镜检查,经异物钳取出气管内骨质异物,随后进行支气管肺泡灌洗术,并留取部分灌洗液行病原学(tNGS)及病理学检查。术后患者症状显著改善,出院后继续服药治疗。

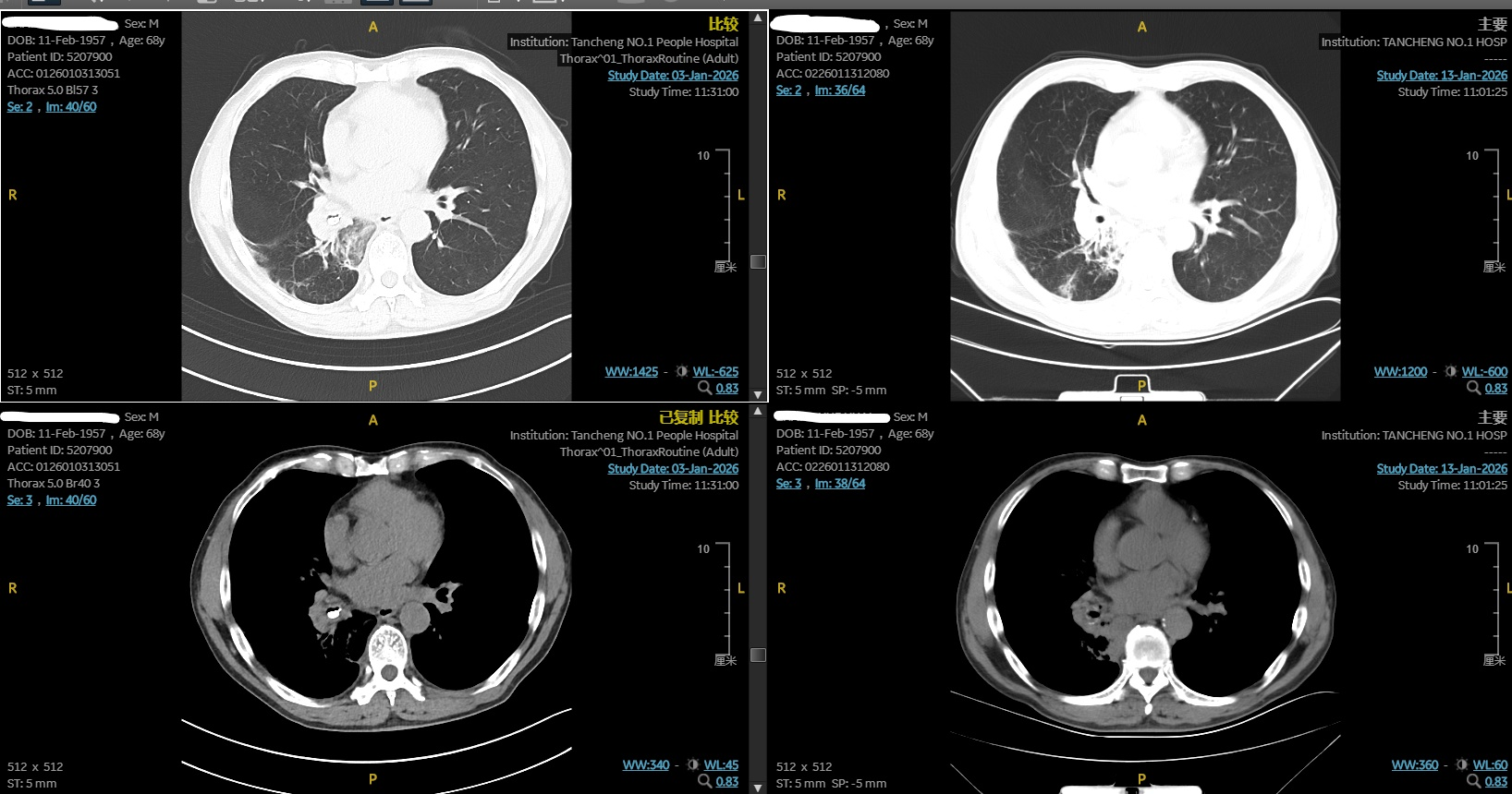
术前CT显示右下叶支气管异物,术后CT显示异物已取出。

取出骨质异物。
支气管镜适应证:
1.不明原因的慢性咳嗽。
2.不明原因咯血或痰中带血。
3.不明原因的局限性哮鸣音。
4.不明原因声音嘶哑。
5.痰中发现癌细胞或可疑癌细胞。
6.胸部影像学显示块影、肺不张、阻塞性肺炎、炎症不吸收、肺部弥漫性病变、肺门和(或)纵隔淋巴结肿大、气管支气管狭窄以及原因不明的胸腔积液等异常改变。
7.肺部手术术前检查。
8.胸部外伤怀疑有气管支气管撕裂或断裂。
9.肺或支气管感染性疾病。
10.怀疑有气管支气管瘘。
支气管镜检查禁忌证:
1.对麻醉药过敏者、不能配合检查者。
2.有严重心肺功能不全、严重心律失常、频发心绞痛者,新近发生过心肌梗死者。
3.身体状况衰弱不能耐受检查者。
4.凝血功能严重障碍以致无法控制的出血倾向者。
5.主动脉瘤有破裂危险者。
6.活动性大咯血。
我院呼吸内科将始终秉承以患者为中心的理念,持续提升技术水平,为每一位呼吸疾病患者筑牢健康防线。