news

新闻动态

新闻动态
您的位置: 首页/ 医护天地/

【健康科普】正解认识肺结节,让肺结节不再纠结

发布时间:2024-01-09 作者:郯城县第一人民医院 浏览量:4632

近年来,越来越多的体检报告中出现“肺结节”这个描述,很多人一拿到报告就紧张起来,甚至谈“结节”色变,今天就从影像学结合临床实践的角度来解读一下“肺结节”。


图片



一、近年来,体检时为什么查出的肺结节越来越多?

随着现代医学技术的进步,高分辨率薄层CT、AI(人工智能)等先进技术普及,让越来越小的肺结节被查出来。同时,人们的疾病防范和健康意识越来越强,体检基数增加,小结节的查出率也随之增加,几份体检单凑一起,中间就可能有一张“肺结节”报告单。另外,肺结节与吸烟、二手烟、生活压力大、熬夜、焦虑等因素也有一定关系。


二、什么是肺结节?肺结节如何分类?

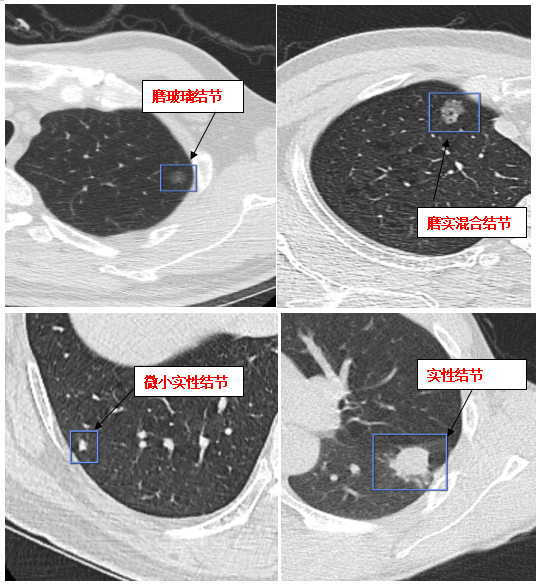
肺结节是指肺部影像表现为直径≦3cm的局灶性、类圆形、密度增高的实性或亚实性肺部阴影,可为孤立性或多发性,不伴肺不张、肺门淋巴结肿大和胸腔积液。

图片

结节的大小、密度、形态等与结节的良、恶性具有一定程度相关性。肺结节有几种分类:

1、大小:直径<5mm称为微小结节;直径5mm-10mm称为小结节;直径11mm-30mm称为结节。

2、密度:分为实性结节和亚实性结节(包括纯磨玻璃结节pGGN和混合磨玻璃结节mGGN)。

3、性质:可以分为良性结节和恶性结节: 良性结节可能是感染、肺结核等痊愈后留下的疤痕,也有可能是良性病变,如肉芽肿性炎、碳末结节、错构瘤、结核球等; 恶性结节则如肺癌、转移瘤等。


三、肺结节一般会有什么症状?

图片


体检发现的直径小于20mm的肺结节,通常不会有症状。有些人发现肺结节后,出现咳嗽、咳痰,甚至有胸闷、气短等症状,以为是小结节引起的,担心是病情进展。其实,这是一个认识上的误区,因为只有支气管受到影响才会引起咳嗽、咳痰等症状,而小结节的体积小,一般不会影响到支气管。



四、肺结节是肺癌吗?

图片


体检查出肺结节,最让人担心的问题就是:结节是肺癌吗?这一点无需过于担心,肺结节患者中肺癌的比例并不高。一项利用美国国家癌症登记数据库7155人的研究发现,肺结节小于5mm的人患肺癌的概率只有0.4%,这个患癌概率和无肺结节人群没有显著不同。肺结节大小在5-10mm之间的,患癌概率稍高,为1.3%。


五、肺结节可通过抗炎吸收治疗消失吗?

“抗炎治疗”一般是指口服或静脉使用抗菌药物治疗。针对胸部CT首次发现的高度怀疑炎性结节,可以考虑抗菌药物治疗1-2周,之后过1-3个月,再次复查胸部CT了解肺结节是否已消失。如果抗菌药物能使肺结节消失,那就没有必要手术。对于肺部陈旧病变,特别是高密度的钙化结节往往不需要抗炎治疗,也不需外科手术干预,它就是岁月在肺上留下的痕迹,就和脸上的皱纹、头上的白头发一样,不需要处理。



六、肺结节随访流程


图片

发现肺结节首先不要紧张,更无需恐慌,但也不能放任不管,应积极到肺结节专科门诊就诊,医生会根据结节的大小、形态、密度,有无毛刺、分叶和胸膜牵拉等特点综合判断肺结节的危险程度,结合有无高危因素等,确定复查间隔时间及是否进一步干预。



七、什么情况下肺结节需要手术


图片

需要注意的是,我们重视肺癌的早诊早治,但也不建议随意进行肺结节手术,比如一发现肺结节就行立即手术切除,总体上看这种做法属于过度治疗,应予避免。在肺结节的手术时机把握中,胸部CT的动态随访非常重要,在随访过程中,动态观察肺结节变化情况,制定诊疗方案。



八、肺结节手术是微创吗?

目前肺结节的主流手术方式是胸腔镜微创手术,术式一般为肺部分切除,包括肺楔形切除或解剖性肺段切除术,还有一部分肺结节可能需接受肺叶切除术。胸腔镜微创手术优点:创伤小,胸壁仅有一个约4cm的切口,利用肋间隙进胸,不损伤肋骨及肋间神经,术后当天即可进食,活动,短期即可恢复正常工作生活,减少了传统开胸手术创伤大,疼痛重、恢复慢等弊端。

门诊地址:郯城县第一人民医院门诊二楼北区208室肺结节门诊

时间:周一至周五

电话:0539-2100937